Автор: головний лікар клініки, Маріанна Анатоліївна Кричфалушій

Чому я першою протестувала систему ART на собі

Як лікар-стоматолог із багаторічним досвідом, я неодноразово працювала з різними технологіями відбілювання зубів — від домашніх кап до агресивних систем «під лампою». Останні давали швидкий ефект, але мали суттєвий мінус: пересушування емалі, різка чутливість і навіть мікропошкодження.

Тому, коли в Україні з’явилася система відбілювання зубів ART, я вирішила провести перше випробування на собі. Мені важливо було точно відчути, наскільки цей метод безпечний, комфортний та ефективний.

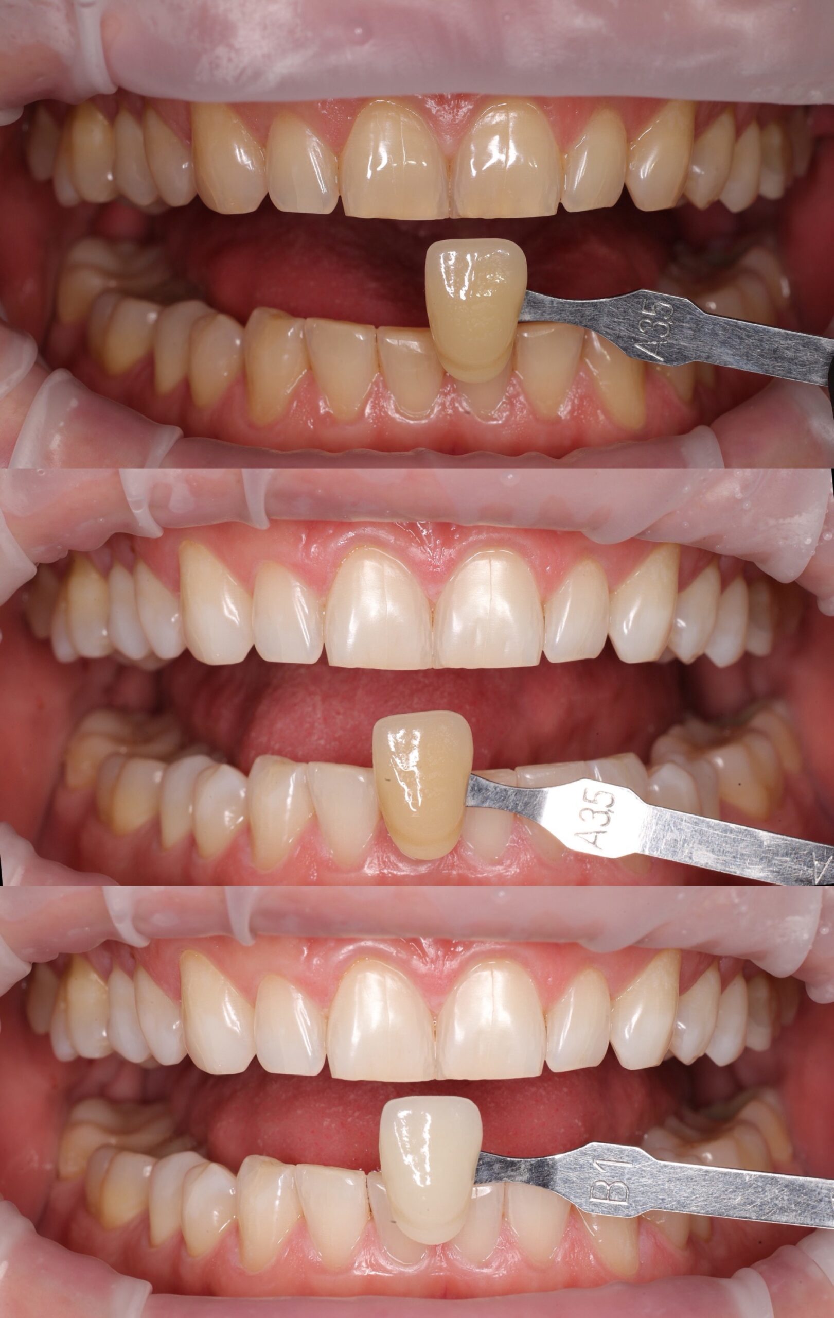
Мій результат: ніякої різкої чутливості, гладка емаль, рівномірне освітлення та природний білий колір.

Що таке система ART Whitening і чим вона краща за традиційні методи

ART — українська інноваційна система відбілювання зубів. Це професійна лінійка гелів з нейтральним pH та високим вмістом води — ключова відмінність від старих «лампових» систем.

У системі ART доступні три варіанти:

  • ART 7 — м’яке відбілювання для чутливих зубів (7% діючої речовини)
  • ART 10 — оптимальна концентрація для більшості пацієнтів (10%)
  • ART 15 — для інтенсивнішого освітлення (15%)

Переваги ART:

  • безпечне відбілювання без пошкодження емалі
  • мінімальна чутливість після процедури
  • рівномірне освітлення на 4–5 тонів
  • можливість відбілювання під елайнерами
  • тривалий та стабільний результат
  • сертифікована система, доступна тільки у стоматолога

Мій клінічний досвід із ART: коротко і по суті

  • у більшості пацієнтів — природний, світлий відтінок без перебілу
  • чутливість мінімальна або повністю відсутня
  • ART підходить пацієнтам з елайнерами та ретейнерами
  • ART 15 дає відмінний результат на ендодонтично пролікованих зубах

У 90% випадків ефект зберігається місяцями й навіть роками — за умови доброї гігієни.

Як відбувається відбілювання зубів ART у нашій клініці Оптіма

  1. Первинна консультація. Оцінка стану емалі, ясен, аналіз чутливості та попереднього досвіду.
  2. Вибір концентрації. ART 7, ART 10 або ART 15 — індивідуальний підхід для безпеки та ефективності.
  3. Підготовка. Професійна гігієна, санація за потреби, сканування для індивідуальних кап.
  4. Відбілювання у капах. Протокол приблизно на 6 тижнів. Капи з гелем щодня від 1 години до ночі.
  5. Рекомендації після процедури. Догляд, ремінералізація. До речі, сувора «біла дієта» не обов’язкова.

Кому підходить ART Whitening

  • пацієнтам із чутливими зубами
  • тим, хто хоче щадне, безпечне освітлення
  • пацієнтам з елайнерами та ортодонтичними конструкціями
  • після лікування каналів (ART 15)
  • тим, хто хоче прогнозований, контрольований результат

Мій професійний висновок

ART — це найкомфортніша, найбезпечніша та найбільш передбачувана система відбілювання, яку я коли-небудь використовувала.

Я рекомендую ART, тому що:

  • перевірила її на собі
  • бачу стабільні результати у пацієнтів
  • знаю, що емаль залишається захищеною та здоровою

Запис на консультацію

Якщо ви хочете отримати білосніжну, але безпечну для емалі усмішку, запрошую на консультацію в клініку Оптіма — я підберу оптимальний протокол ART саме для вас.

Записатися на консультацію



Інші статті

02.03.2026

Ортодонтичне лікування: ніколи не пізно — але завжди краще вчасно

Юлія Володимірівна Погрібна /лікар-ортодонт/ клініка Оптіма Як лікар-ортодонт, я щодня бачу, як змінюється не лише посмішка моїх пацієнтів, а й їхня впевненість у собі. І перше, що хочу сказати: ортодонтичну проблему можна вирішити у будь-якому віці. Сучасна ортодонтія вже давно вийшла за межі підліткових брекетів і відкрила можливості для пацієнтів 30+, 40+ і навіть 60+ років.

30.10.2025

Zebris JMA Optic — точна цифрова діагностика прикусу у клініці Оптіма

Zebris JMA Optic — точність, комфорт і сучасна стоматологія. У клініці Оптіма ми використовуємо новітню німецьку систему цифрової діагностики прикусу Zebris JMA Optic, що дозволяє з високою точністю аналізувати рухи щелеп і досягати ідеального балансу прикусу. Дізнайтесь, як цифрові технології допомагають створювати не лише красиву, а й здорову усмішку.

18.08.2025

Бруксизм: коли стрес стирає усмішку

У наш час стрес став майже нормою. Але не всі знають, що саме стрес, як зазвичай, запускає серйозну стоматологічну проблему — бруксизм.

07.07.2025

Стоматолог — особливий лікар?

Часто ловлю себе на цій думці. І ще частіше чую її від пацієнтів. Під час консультацій мені регулярно кажуть: «Я вже багато разів була у стоматологів, але ніхто ніколи не розповідав мені такого про мій стан здоров’я». І я розумію, чому так.

12.06.2025

Що таке дентальний фотопротокол?

Фотопротокол — це не просто модна “фішка” сучасної стоматології. Це потужний діагностичний та комунікаційний інструмент, що підвищує ефективність лікування, зміцнює довіру між пацієнтом і лікарем та забезпечує найвищий рівень стоматологічного сервісу.